Skip to main content
Team
Untersuchungen
Kernspintomografie
Mehrzeilencomputertomografie (CT)
Digitales Röntgen
Digitale Mammografie
Nuklearmedizin
Knochendichtemessung
Ultraschall (Sonografie)
CT-gesteuerte Interventionen
(current)
Sprechstunden
Kontakt
Kontakt & Anfahrt
Impressum
Datenschutz
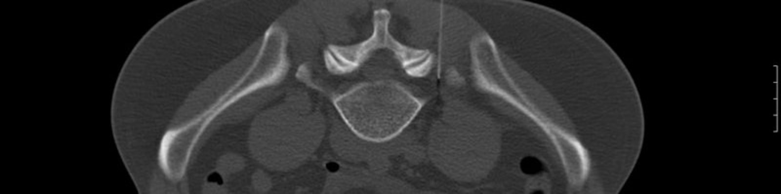
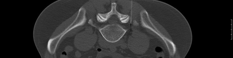
Ct-gesteuerte Interventionen
Aus personellen Gründen können wir diese Leistungen ab dem 01.01.2023 nicht mehr anbieten.